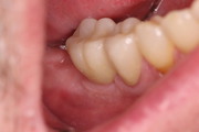
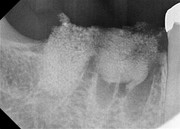
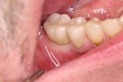
Socket + Implantation 3,5 Jahre Follow up

Nach Entfernung der Zähne 46 und 47, Augmentation DentOss fein, Adaptationsnähte, 6 Tage danach, Implantation nach 5 Monaten und ZE 45, 46 mit Zirkonkronen.Röntgenkontrolle nach einem Jahr und klinische Situation. 3,5 Jahre nach Socket.

Druckversion | Sitemap
© Demedi-Dent GmbH und Co. KG